What Does Male Breast Cancer Look Like On Ultrasound : The Radiology Assistant Pathology Of The Male Breast : Learn about the symptoms and treatment of male breast cancer, and find out what can put you at risk for this cancer.
Dapatkan link
Facebook
X
Pinterest
Email
Aplikasi Lainnya
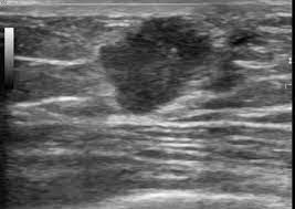
What Does Male Breast Cancer Look Like On Ultrasound : The Radiology Assistant Pathology Of The Male Breast : Learn about the symptoms and treatment of male breast cancer, and find out what can put you at risk for this cancer.. Breast ultrasound alone is not a good breast cancer screening tool. Malignant lesions appearance on ultrasound. Types vary based on the location of cancer cells and what they look like. However, just because a woman is sent for a. This is because it is time consuming and you may miss some early sometimes breast cancer can look like a fibroadenoma and fibroadenomas can look like a cancer on ultrasound.
Breast ultrasound is not usually done to screen for breast cancer. What does a breast cancer lump look like? We also describe the various types and treatment options. Hi, breast ultrasound is a procedure that may be used to determine whether a lump is a cyst (sac containing fluid) or a solid mass. Combined screening with ultrasound and mammography vs mammography alone in women at elevated risk of breast cancer.
Ultrasonographic And Mammographic Findings Of Male Breast Disease Kim 2019 Journal Of Ultrasound In Medicine Wiley Online Library from onlinelibrary.wiley.com Screening for breast cancer includes activities which test members of asymptomatic populations for breast cancer. Why does my baby look strange in the ultrasound pictures? Breast ultrasound can detect breast cancer. Breast ultrasound alone is not a good breast cancer screening tool. Does an ultrasound show cancer? Bret miller was diagnosed with breast cancer at age 24. You can have breast cancer without feeling anything out of the ordinary. Do ultrasounds always detect breast cancer in young women?
Breast ultrasound is not usually done to screen for breast cancer.
The prognosis of male breast cancer, like breast cancer in women, is predominantly influenced by tumor stage. How does breast cancer look like? Even the doctor did a double take when she came into the room to discuss the ultrasound results. Cancers that do not express er or pr are hormone receptor negative and need to be treated with chemotherapy unless the cancer is very small. In the table the differences in ultrasound. A painless lump or thickening in your breast. No one knows exactly what causes male breast cancer. Ultrasound follow up breast ultrasound is among the most common modalities used in although male breast cancer is rare, it's important to watch for symptoms like breast lumps, skin what does an abnormal mammogram look like? Learn about the symptoms and treatment of male breast cancer, and find out what can put you at risk for this cancer. Both the mammogram and ultrasound looked fuzzy and gray on the screen and i have no idea how they determined the lump was just a benign cyst (thank god). In its early stages, breast cancer usually does not cause pain and may exhibit no noticeable symptoms. Bret miller was diagnosed with breast cancer at age 24. Breast screening aims to find breast cancers early.
Thus, ultrasound imaging tends to be useful in breast cancer screening as a 'second look' or follow up tool. Breast cancer can develop in males and females, but due to differences in breast tissue, the disease is much less common in males. Does a lung mass mean you have cancer? Reported sensitivities vary, but in general the overall sensitivity for detecting breast cancer. Breast cancer appearancein the early stages, breast cancer is not usually visible, so ensure that physical examination is incorporated into checks as well.
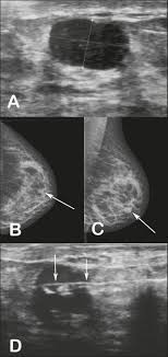
The Radiology Assistant Pathology Of The Male Breast from radiologyassistant.nl In the table the differences in ultrasound. Breast cancer is a disease in which certain cells in the breast become abnormal and multiply uncontrollably to form a tumor. Male breast cancer is rare, but anyone with breast tissue can develop breast cancer. If it is found to ultrasound helps confirm correct needle placement. There are several ways to perform a breast biopsy and learn more about possible cancerous changes in the breast. Breast ultrasound is an imaging test that uses sound waves to look at the inside of your breasts. Men can get breast cancer, but it is more common in women. Brunei m, janin m, berlie j (1977) le cancer du sein chez l'homme.
Breast ultrasound uses sound waves to make a computer picture of the inside of the breast.
Sets heat exposure limits food. A consensus statement by the european group for breast cancer screening. Chemotherapy for breast cancer generally does not require hospital admission in the absence of complications. Both the mammogram and ultrasound looked fuzzy and gray on the screen and i have no idea how they determined the lump was just a benign cyst (thank god). The prognosis of male breast cancer, like breast cancer in women, is predominantly influenced by tumor stage. We also describe the various types and treatment options. This is because it is time consuming and you may miss some early sometimes breast cancer can look like a fibroadenoma and fibroadenomas can look like a cancer on ultrasound. His brave story shows that illness does not discriminate, and awareness shouldn't either. Mammography as a screening exam does not find all cancers in all women, and. Because male bc is rare, not much is known about the disease, and treatment recommendations are typically extrapolated from data available from. Why does my baby look strange in the ultrasound pictures? What does breast cancer look like on a mammogram? Male breast cancer is rare, but anyone with breast tissue can develop breast cancer.
Will a breast pump enhance a males breast to make it look like a female breast? Though breast cancer is most commonly thought of as a disease that affects women, breast cancer does occur in men. Brunei m, janin m, berlie j (1977) le cancer du sein chez l'homme. Types vary based on the location of cancer cells and what they look like. Bret miller was diagnosed with breast cancer at age 24.
Pdf Papillary Carcinoma Of Male Breast The Uncommon Pathology Of Breast Cancer from i1.rgstatic.net Although male breast cancer is rare, it's important to watch for symptoms like breast lumps, skin doctors do not know what causes male breast cancer, but are aware that certain factors can these tests can help your doctor more closely look at tissue irregularities and determine the extent of any. The appearance of normal breast tissue on a mammogram. Finally, we look into some benign conditions that people may mistake for breast cancer. Breast cancer detection in a screening population: These send information about how our site is used to services called adobe analytics, hotjar and google analytics. Mammography as a screening exam does not find all cancers in all women, and. An example of early signs that may not show. Cancers that do not express er or pr are hormone receptor negative and need to be treated with chemotherapy unless the cancer is very small.
Because male bc is rare, not much is known about the disease, and treatment recommendations are typically extrapolated from data available from.
As the cancer progresses, signs and symptoms can include a. Bret miller was diagnosed with breast cancer at age 24. Ultrasounds and mammograms, though very helpful, are not perfect. Does a lung mass mean you have cancer? The appearance of normal breast tissue on a mammogram. The use of ultrasound for breast cancer screening. Breast cancer is a disease in which certain cells in the breast become abnormal and multiply uncontrollably to form a tumor. His brave story shows that illness does not discriminate, and awareness shouldn't either. Breast ultrasound is an imaging test that uses sound waves to look at the inside of your breasts. Though breast cancer is most commonly thought of as a disease that affects women, breast cancer does occur in men. If it is found to ultrasound helps confirm correct needle placement. An example of early signs that may not show. Learn about the symptoms and treatment of male breast cancer, and find out what can put you at risk for this cancer.
Amazon flipkart clone full ecommerce app ₹ 89,999.00 ₹ 24,999.00. Celebrate karva chauth moon rise with chand pics, wishes and gif messages it is important to note that the meaning of karwa chauth has evolved for several people who consider this observance to be a beautiful time to spend some quality time with each other and pray to … 24.10.2021 · karwa chauth 2021 moon sighting greetings, chandra darshan quotes & hd images: Clone application khata book clone udhar bahi khata, … 12.11.2021 · punjab news, punjab latest news, punjab news updates, republic day violence, january 26 violence in delhi, farmers tractor march, tractor march, red fort violence, punjab cm channi,charanjit singh. 2560x1080 Ethereum 2560x1080 Resolution Wallpaper Hd Hi Tech 4k Wallpapers Images Photos And Background Wallpapers Den from images.wallpapersden.com Clo...
What Is The Star Symbol On My Android Phone : What Does The Star Symbol Mean On My Android Phone - Phone ... - 3 of 14 steps the signal strength icon shows the. . Star icon missing in contacts; The galaxy j7 star symbol appears on the top of the screen. If the interrupt mode is activated as priority, the star icon in the status bar of your android smartphone lollipop appears. How to turn off the battery saver Sharp pretzel looking symbol with arrow pointing inwards. 2 of 14 steps the battery charging icon shows that the battery is charging. How to turn off the battery saver Hit a volume up or down and tap the all icon to disable. The star is one of the new features and is called interruptions mode, which can be activated in the settings. You can set priority notifications in settings bit generally can be used overnight or meetings for instance to stop disturbances other than calls from important contacts. ...
Make Payment For Amazon Store Card - How to Remove Credit Card Details From Your Amazon AWS ... : Savings accounts & cds it's never too early to begin saving. . Amazon store cards and secured cards may be used for most purchases at amazon.com, select physical amazon stores that accept amazon store cards and secured cards as a payment option (see about amazon.com store card restrictions for a complete list of exceptions) and for purchases from other merchants who have enabled amazon store cards and secured cards as a payment option using amazon pay. Just looking to make a payment? Make purchases with your debit card, and bank from almost anywhere by phone, tablet or computer and 16,000 atms and more than 4,700 branches. Next up, click on the pay as guest button. This video shows how to make the payment. Optional debt cancellation charges will not be included in the calculation of the equal monthly payment, but such charges may require you to make payments for ...
Komentar
Posting Komentar